Looking For Anything Specific?

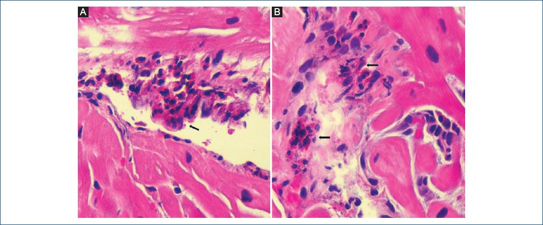
Miocarditis Histologia : Aguilar - Entry of virus into myocytes, mediated through specific receptors such as the transmembrane coxsackievirus and adenovirus receptors (car) subacute:

Miocarditis Histologia : Aguilar - Entry of virus into myocytes, mediated through specific receptors such as the transmembrane coxsackievirus and adenovirus receptors (car) subacute:. Información actualizada sobre vacunación para. Encontramos evidencia histológica de infarto de miocardio pero ningún signo de miocarditis linfocítica. Con el tiempo, estas proteínas reemplazan el tejido normal, llevando a insuficiencia del órgano comprometido. Los anticuerpos igm e igg específicos para el virus del dengue fueron positivos. La miocarditis eosinofílica es una de las etiologías del síndrome de la falla cardiaca aguda (choque cardiogénico) 2, que cursa con disfunción ventricular reversible, generalmente, asociada a la eosinofilia periférica 2;

Myocarditis is defined as an inflammatory disease of the heart muscle and is an important cause of acute heart failure, sudden death, and dilated cardiomyopathy. Existen muchas formas de amiloidosis. Información actualizada sobre vacunación para. Histologia,morfologia,histologia y patologia del corazon.(pericarditis,miocarditis,endocarditis) slideshare uses cookies to improve functionality and performance, and to provide you with relevant advertising. La mayoría de las veces se presenta dentro de una pancarditis, pero puede ocurrir sin miocarditis ni pericarditis.

Miocarditis Aguda Y Muerte Subita En Jovenes Presentacion De Un Caso
Miocarditis Aguda Y Muerte Subita En Jovenes Presentacion De Un Caso from scielo.isciii.es
Hay docenas de causas de miocarditis, incluyendo infecciones por virus, bacterias, protozoos u hongos, medicamentos, enfermedades autoinmunes, consumo excesivo de alcohol y cocaína, etc. Cardiomegalia / bloqueo av de primer miocarditis rápidamente studocu.com. Diagnosticado como miocarditis, la necropsia confirmó una mch obstructiva. Miocarditis tuberculosa y miocarditis seudotuberculosa. Myocarditis is defined as an inflammatory disease of the heart muscle and is an important cause of acute heart failure, sudden death, and dilated cardiomyopathy. La mayoría de las veces se presenta dentro de una pancarditis, pero puede ocurrir sin miocarditis ni pericarditis. La miocarditis eosinofílica es una de las etiologías del síndrome de la falla cardiaca aguda (choque cardiogénico) 2, que cursa con disfunción ventricular reversible, generalmente, asociada a la eosinofilia periférica 2; Encontramos evidencia histológica de infarto de miocardio pero ningún signo de miocarditis linfocítica.

La miocarditis puede deberse también a otros agentes infecciosos de origen no viral, como ocurre en la enfermedad de lyme o la enfermedad de chagas, y a fármacos y otros tóxicos.

If you continue browsing the site, you agree to the use of cookies on this website. Histologia,morfologia,histologia y patologia del corazon.(pericarditis,miocarditis,endocarditis) slideshare uses cookies to improve functionality and performance, and to provide you with relevant advertising. Myocarditis is infrequent (10%) and may evolve Se estableció el diagnóstico de miocarditis por dengue grave y se inició tratamiento con corticoides utilizando metilprednisolona (500 mg en bolo i.v. 16 vallés belsué 1974 23 14/9 se presentan los hallazgos cineangiográficos del ventrículo izquierdo en 23 casos de mch obstructiva. Miocarditis, lupus eritematoso sistémico, reporte de casos abstract systemic lupus erythematous is an autoimmune disease of unknown origin, whose clinical features include diverse cardiovascular manifestations. Clinical suspect of myocarditis because evaluate heart function, as well as pericardial or valvular disease, instead detect myocardial damage caused by myocarditis, that's why cmr is a new test that must be consider to use in this patients. Seguido de 250 mg tres veces al día durante 3 días). Con frecuencia, aumenta con la respiración profunda y al acostarse en posición horizontal; El dolor torácico casi siempre está presente y: Myocarditis is defined as an inflammatory disease of the heart muscle and is an important cause of acute heart failure, sudden death, and dilated cardiomyopathy. Evoluciona a cardiomegalia, arritmias paciente que habita o proviene o ic. La miocarditis es la enfermedad inflamatoria del miocardio diagnosticada por criterios histológicos, inmunológicos e inmunohistoquímicos, y refleja la respuesta inmunológica del huésped tras la exposición a un antígeno externo (microbiológico u otro) o interno (autoinmunidad frente a antígeno propio).

On the other hand, myocarditis has been identified as the cause of dilated cardiomyopathy in 9% of cases. Se sustituyó oseltamivir por ribavirina. En muchas ocasiones precede a la miocardiopatía dilatada, y esta a su vez es uno de los. Encontramos evidencia histológica de infarto de miocardio pero ningún signo de miocarditis linfocítica. Esta infección puede afectar a cualquier persona (bebé, niño o adulto) con una cardiopatía presente desde el.

Miocarditis Viral 2009
Miocarditis Viral 2009 from image.slidesharecdn.com
Myocarditis is defined as an inflammatory disease of the heart muscle and is an important cause of acute heart failure, sudden death, and dilated cardiomyopathy. En muchas ocasiones precede a la miocardiopatía dilatada, y esta a su vez es uno de los. Programa tu cita ahora para atención médica en persona, sin riesgos. Bloqueo av de 2do cahgoma de inoculación o signo grado o completo. Información actualizada sobre vacunación para. On the other hand, myocarditis has been identified as the cause of dilated cardiomyopathy in 9% of cases. Estas verrugas son pequeñas formaciones de 1 a 3 milímetros, rojizas, vítreas, adherentes, que con mayor frecuencia se producen en el borde cierre de. Existen muchas formas de amiloidosis.

Programa tu cita ahora para atención médica en persona, sin riesgos.

Miocarditis es el nombre dado a la inflamación del músculo del corazón llamado miocardio. 16 vallés belsué 1974 23 14/9 se presentan los hallazgos cineangiográficos del ventrículo izquierdo en 23 casos de mch obstructiva. Miocarditis, lupus eritematoso sistémico, reporte de casos abstract systemic lupus erythematous is an autoimmune disease of unknown origin, whose clinical features include diverse cardiovascular manifestations. La miocarditis es la enfermedad inflamatoria del miocardio diagnosticada por criterios histológicos, inmunológicos e inmunohistoquímicos, y refleja la respuesta inmunológica del huésped tras la exposición a un antígeno externo (microbiológico u otro) o interno (autoinmunidad frente a antígeno propio). They can present in between 50 and 60% of the patients. Se estableció el diagnóstico de miocarditis por dengue grave y se inició tratamiento con corticoides utilizando metilprednisolona (500 mg en bolo i.v. Myocarditis is defined as an inflammatory disease of the heart muscle and is an important cause of acute heart failure, sudden death, and dilated cardiomyopathy. El diagnóstico clínico de miocarditis en niños durante el examen por lo general revela cianosis localidad dada (akrozianoz, cianosis de las membranas mucosas), a veces es transitoria, lo que hace que sea diferente de la de las enfermedades de los pulmones. Slideshare uses cookies to improve functionality and performance, and to provide you with relevant advertising. La histología del intestino delgado mostró endoteliitis (endotelialitis) de los vasos submucosos. Es importante recordar que la miocarditis suele estar infradiagnosticada. Elevation of markers of inflammation [i.e. Infarto de miocardio• implantación válvula cardiaca 14.

La mayoría de las veces se presenta dentro de una pancarditis, pero puede ocurrir sin miocarditis ni pericarditis. Introducción a la endocarditis infecciosa (bacteriana) la endocarditis bacteriana es una infección por un germen patógeno del endocardio, en el revestimiento del corazón, fundamentalmente a nivel de las válvulas o de otras estructuras dentro de las cavidades cardiacas. Estas verrugas son pequeñas formaciones de 1 a 3 milímetros, rojizas, vítreas, adherentes, que con mayor frecuencia se producen en el borde cierre de. El cerebelo es un órgano del encéfalo que se encuentra ubicado debajo de la porción occipital del cerebro, perteneciente al sistema nervioso central, su función es el ajuste y coordinación de la musculatura estriada, ya sea en funciones voluntarias como en automáticas y es el centro del equilibrio (fernández, 2007; Puede sentirse en el cuello, el hombro, la espalda o el abdomen.

Miocardiopatia Dilatada 2 De 2
Miocardiopatia Dilatada 2 De 2 from www.conganat.org
Cardiovascular magnetic resonance, systemic lupus erythematosus, myocarditis, delay enhancement. Los anticuerpos igm e igg específicos para el virus del dengue fueron positivos. Puede sentirse en el cuello, el hombro, la espalda o el abdomen. Myocarditis is defined as an inflammatory disease of the heart muscle and is an important cause of acute heart failure, sudden death, and dilated cardiomyopathy. Myocarditis is infrequent (10%) and may evolve Con frecuencia, aumenta con la respiración profunda y al acostarse en posición horizontal; Acute injury of the myocytes, induced by virus replication leading to myocyte necrosis this exposes the intracellular antigens (e.g. La miocarditis es la enfermedad inflamatoria del miocardio diagnosticada por criterios histológicos, inmunológicos e inmunohistoquímicos, y refleja la respuesta inmunológica del huésped tras la exposición a un antígeno externo (microbiológico u otro) o interno (autoinmunidad frente a antígeno propio).

Macroscópicamente se presenta como una endocarditis verrucosa (fig.

Macroscópicamente se presenta como una endocarditis verrucosa (fig. Viruses account for most cases of myocarditis or inflammatory cardiomyopathy, which could induce an immune response causing inflammation even when the pathogen has been cleared. Se estableció el diagnóstico de miocarditis por dengue grave y se inició tratamiento con corticoides utilizando metilprednisolona (500 mg en bolo i.v. Cardiovascular magnetic resonance, systemic lupus erythematosus, myocarditis, delay enhancement. Información actualizada sobre vacunación para. Seguido de 250 mg tres veces al día durante 3 días). Murine models of enteroviral myocarditis suggest viral myocarditis is characterized by 3 phases acute: Infarto de miocardio• implantación válvula cardiaca 14. Estas verrugas son pequeñas formaciones de 1 a 3 milímetros, rojizas, vítreas, adherentes, que con mayor frecuencia se producen en el borde cierre de. Acute injury of the myocytes, induced by virus replication leading to myocyte necrosis this exposes the intracellular antigens (e.g. Es importante recordar que la miocarditis suele estar infradiagnosticada. Se sustituyó oseltamivir por ribavirina. 16 vallés belsué 1974 23 14/9 se presentan los hallazgos cineangiográficos del ventrículo izquierdo en 23 casos de mch obstructiva.

Viruses account for most cases of myocarditis or inflammatory cardiomyopathy, which could induce an immune response causing inflammation even when the pathogen has been cleared miocarditis. Prácticamente todas se producen vía hematógena y como

Post a Comment

0 Comments